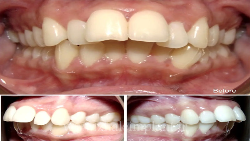
۵ تا از دلایل مهم کشیدن دندان در ارتودنسی